물대신 평소에 쥬스나 탄산음료 먹는 게이들은 잘봐라
이게 우리가 자주 먹는 음료수의 산성도를 나타내는 표거든

인간이 먹을수 없는 아주 산성도가 센 배터리 안에 있는 산성 용액을 1로 보고 그냥 물을 중성인 pH 7로 본다면
대부분의 탄산음료와 스포츠 드링크는 아주 산성도가 강한 2점대에 분포해 있어. 심지어 그냥 물에 탄산만 집어넣은 물도 산성도가 3이나 4에 분포하고있고.
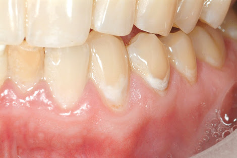
그 옆의 그림을 보면 우리 치아의 아주 바깥쪽에 뼈보다 단단한 보호층인 상아질(enamel)이 있거든.

근데 산성도 5.5 아래로 가는 강한 산성 용액에 노출이 되면 상아질이 부식되어 칼슘이 숑숑 빠져나가.

그러면 저기 하얗게 보이는것처럼 칼슘 밀도가 낮아지니 색이 하얗게 보이는거야.
물론 저기서 계속 산도가 2-3 의 음료수를 마시게되면 그 음료수 안의 엄청난 양의 설탕을 입안의 박테리아가 먹고 산성물질을 내보내서 가뜩이나 산성인 음료수를 마셨는데 더 산성으로 만드는거지.
그러면 칼슘이 상아질에서 계속 빠져나가 상아질이 약해져 그걸 무너뜨리고 입안의 균이 치아속으로 침투해 이를 썩게 만드는거야.

그럼 어떻게 해야할까.
주스와 탄산수를 끊어야지 제일 좋은 방법은.
그래도 나는 죽어도 마실거란 일게이들은 빨대로 먹어서 치아와의 접촉을 최소화 하거나 아니면 음료수를 마시고 곧바로 물로 입인을 헹구어 입안의 산성도를 중화시켜야 칼슘이 숑숑 빠지는걸 방지할수 있다.
이미 빠져나간 칼슘을 보충하는 방법은 없냐?
그렇다면 치과나 큰 수퍼마켓에 가면 불소 양치 용액 이라고 있어.

이걸 사서 자기전에 하루에 한번 입에 머금고 좀 있다기 뱉으면 된다. 그러면 불소가 킬슘 빠진자리에 들어가 원래 치아보다 더 단단해져 충치에 잘 안걸리게 되고 좋음.
세줄요약
1. 물대신 음료 마시는 게이들은 저 위의 표를보고 얼마나 산성도가 센 음료를 마시는지 체크해봐라
2. 산성도가 2에서 4까지에 드는 음료수를 먹고 있다면 치아를 부식시키므로 이제부턴 물을 마시자
3. 정 마시고 싶다면 빨대로 치이와 접축 줄여서 마시자.





